logo
doctor name

Υπηρεσίες

Χειρουργική Καταγμάτων


Εξωτερική Οστεοσύνθεση

Η εξωτερική οστεοσύνθεση είναι η χειρουργική τεχνική συγκράτησης ενός κατάγματος σε θέση ανάταξης με τη χρήση ενός συστήματος ράβδων και βελονών. Η εστία του κατάγματος δεν ανοίγεται χειρουργικά και η ανάταξή του επιτυγχάνεται με έμμεσο τρόπο.

Είναι μια χειρουργική τεχνική μικρής παρεμβατικότητας και ενδείκνυται στη σταθεροποίηση καταγμάτων που συνοδεύονται από σοβαρές βλάβες των μαλακών μορίων που τα περιβάλουν. Πέρα από την τραυματογία, η χρήση της εξωτερικής οστεοσύνθεσης επεκτείνεται και στην επανορθωτική χειρουργική αλλά και στην αύξηση μήκους ενός οστού (διατατική οστεογένεση).

Εσωτερική Οστεοσύνθεση

Η εσωτερική οστεοσύνθεση είναι η χειρουργική τεχνική συγκράτησης ενός κατάγματος σε ανάταξη με τη χρήση εμφυτευμάτων, δηλαδή πλακών και βιδών. Η εστία του κατάγματος ανοίγεται χειρουργικά και η ανάταξη επιτυγχάνεται με άμεσο τρόπο. Είναι μια τεχνική που εξασφαλίζει τη σταθεροποίηση της τέλειας ανατομικής ανάταξης του κατάγματος. Αυτός είναι ο λόγος που χρησιμοποιείται σε κατάγματα που φτάνουν στην αρθρική επιφάνεια των οστών (ενδαρθρικά κατάγματα), όπου η διατήρηση της ανατομικής ανάταξης αποκαθιστά την πλήρη λειτουργικότητα της άρθρωσης

X-ray X-ray

Ενδομυελική Ήλωση

Η ενδομυελική ήλωση είναι η χειρουργική τεχνική συγκράτησης της ανάταξης καταγμάτων μακρών οστών με τη χρήση ενός καρφιού (ήλου) που τοποθετείται μέσα στον αυλό του οστού (ενδομυελικά). Η καταγματική εστία δεν ανοίγεται χειρουργικά και η ανάταξη επιτυγχάνεται με έμμεσο τρόπο.

Η τεχνική αυτή είναι ελάχιστα παρεμβατική, δεν διαταράσει τη βιολογία των μαλακών μορίων γύρω από το κάταγμα και επιτρέπει τη γρήγορη λειτουργική αποκατάσταση του ασθενούς.

X-ray
X-ray

Ελάχιστα Επεμβατική Οστεοσύνθεση

Η ελάχιστα επεμβατική οστεοσύνθεση (Minimal Invasive Plate Osteosynthesis) αποτελεί εξέλιξη της εσωτερικής οστεοσύνθεσης και περιλαμβάνει τη συγκράτηση ενός κατάγματος σε ανάταξη με τη χρήση ειδικών εμφυτευμάτων. Ο σχεδιασμός των εμφυτευμάτων αυτών δίνει τη δυνατότητα στο χειρουργό να τα τοποθετήσει μέσω μικρών δερματιών τομών χωρίς να ανοίξει την καταγματική εστία.

Επανορθωτική Χειρουργική


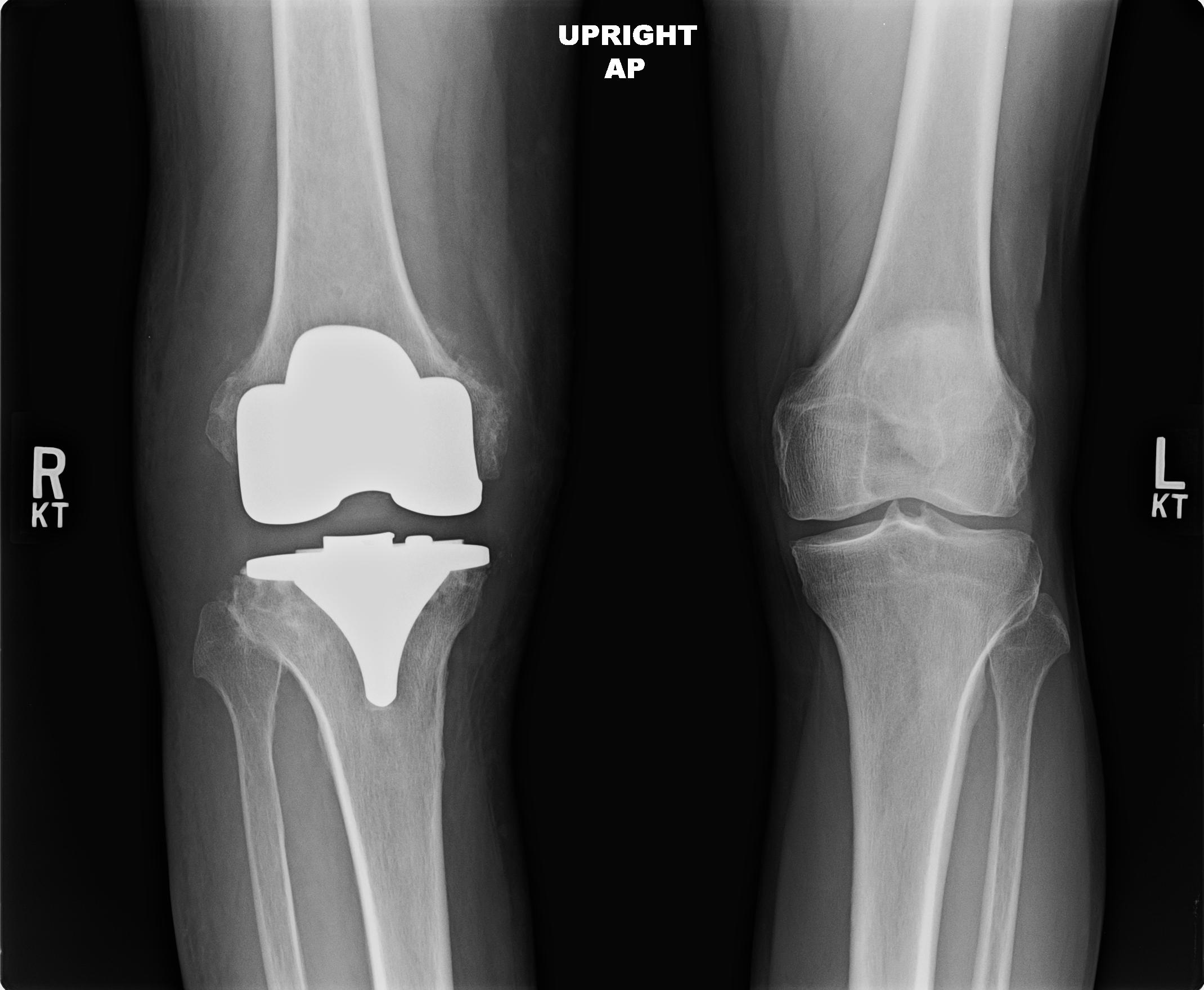
Αρθροπλαστική

Η αρθροπλαστική είναι η χειρουργική τεχνική που περιλαμβάνει την αφαίρεση μιας κατεστραμένης άρθρωσης και την αντικατάστασή της με μία τεχνητή. Η μέθοδος της αρθροπλαστικής διαφέρει ανάλογα με την άρθρωση στην οποία εφαρμόζεται (ισχίο, γόνατο, ώμος, αγκώνας, ποδοκνημική). Οι προθέσεις, τα εμφυτεύματα δηλαδή, που αντικαθιστούν τις κατεστραμένες αρθρώσεις είναι κατασκευασμένα από φιλικά για τον οργανισμό υλικά (μεταλλικά κράμματα, κεραμικά και πλαστικά).

X-ray

Οστεοτομία

Η οστεοτομία είναι η χειρουργική τεχνική τεχνική διόρθωσης μιας οστικής παραμόρφωσης και έχει ως στόχο να αλλάξει την κατανομή των φορτίων σε μία άρθρωση. Περιλαμβάνει τη διατομή του παραμορφωμένου οστού και την οστεοσύνθεσή του σε θέση διόρθωσης.

X-ray

Αρθροσκοπική Χειρουργική


Η αρθροσκόπηση είναι η χειρουργική επέμβαση κατά την οποία εισέρχεται στην άρθρωση ειδική κάμερα (αρθροσκόπιο) μέσω της οποίας η εικόνα της άρθρωσης μεγενθύνεται και προβάλεται σε μία οθόνη. Έτσι, υπό άμεση όραση ο χειρουργός ελέγχει τις ανατομικές δομές και το είδος της βλάβης. Κατόπιν, με τη βοήθεια ειδικών εργαλείων που εισέρχονται επίσης στην άρθρωση, παρεμβαίνει και αποκαθιστά την διαταραχή.

Arthroscopy Procedure

Η μέθοδος αυτή έχει εφαρμογη σε παθολογίες του ώμου, του αγκώνα, της πηχεοκαρπικής, του ισχίου, του γόνατος αλλά και της ποδοκνημικής άρθρωσης.

Arthroscopy Tools

Μικροχειρουργική


Μικροχειρουργική ονομάζεται η μέθοδος που επιτρέπει την επέμβαση σε ιστούς πολύ μικρού μεγέθους, μη ορατούς δια γυμνού οφθαλμού, με τη χρήση χειρουργικού μικροσκοπίου, μικροεργαλείων και μικροραμμάτων.

Η μικροχειρουργική δεν αποτελεί ιατρική ειδικότητα. Είναι μια εξελιγμένη μορφή χειρουργικής τεχνικής που εφαρμόζεται από διαφόρων ειδικοτήτων χειρουργούς (ορθοπαιδικούς, νευροχειρουργούς, καρδιοχειρουργούς, πλαστικούς χειρουργούς κ.α.).

Ορθοπαιδικές εφαρμογές της μικροχειρουργικής αποτελούν οι τραυματισμοί τενόντων, νεύρων αλλά και αρτήριων ή φλεβών.

X-ray
X-ray

Τραυματιολογία Ενηλίκων και Παίδων


Τραύμα σε ενήλικα ή σε παιδί καλείται η βίαιη καταστροφή ιστών, εσωτερική ή εξωτερική, ανεξάρτητα από το αίτιο που την προκαλεί. Η αντιμετώπιση του τραύματος ονομάζεται τραυματιολογία και αποτελεί ένα από τα αντικείμενα της ορθοπαιδικής ειδικότητας.

Βλάβες του μυοσκελετικού συστήματος όπως θλαστικά τραύματα (κοψίματα), μυϊκές θλάσεις, διαστρέμματα, εξαρθρήματα, κλειστά κατάγματα μακρών οστών και διατομές τενόντων αντιμετωπίζονται στο ιατρείο με την τοποθέτηση κάποιου είδους ακινητοποίησης (ανάρτηση, νάρθηκας, γύψος) ή χειρουργικά με την συρραφή των διατμημένων ιστών.

Kid with a casted leg

© Copyright 2017 Ιατρείο Ευστάθιος Χαραλαμπίδης. All rights reserved

ΑΠΑΓΟΡΕΥΕΤΑΙ η αναδημοσίευση και γενικά η αναπαραγωγή του υλικού της ιστοσελίδας, με οποιοδήποτε μέσο ή τρόπο, τμηματικά ή περιληπτικά, χωρίς γραπτή άδεια του δημιουργού.