logo
doctor name

Παθήσεις Ώμου - Ασβεστοποιός τενοντίτιδα υπερακανθίου

Ασβεστοποιός τενοντίτιδα υπερακανθίου

Παθήσεις Ώμου



Ασβεστοποιός τενοντίτιδα υπερακανθίου

Εισαγωγή

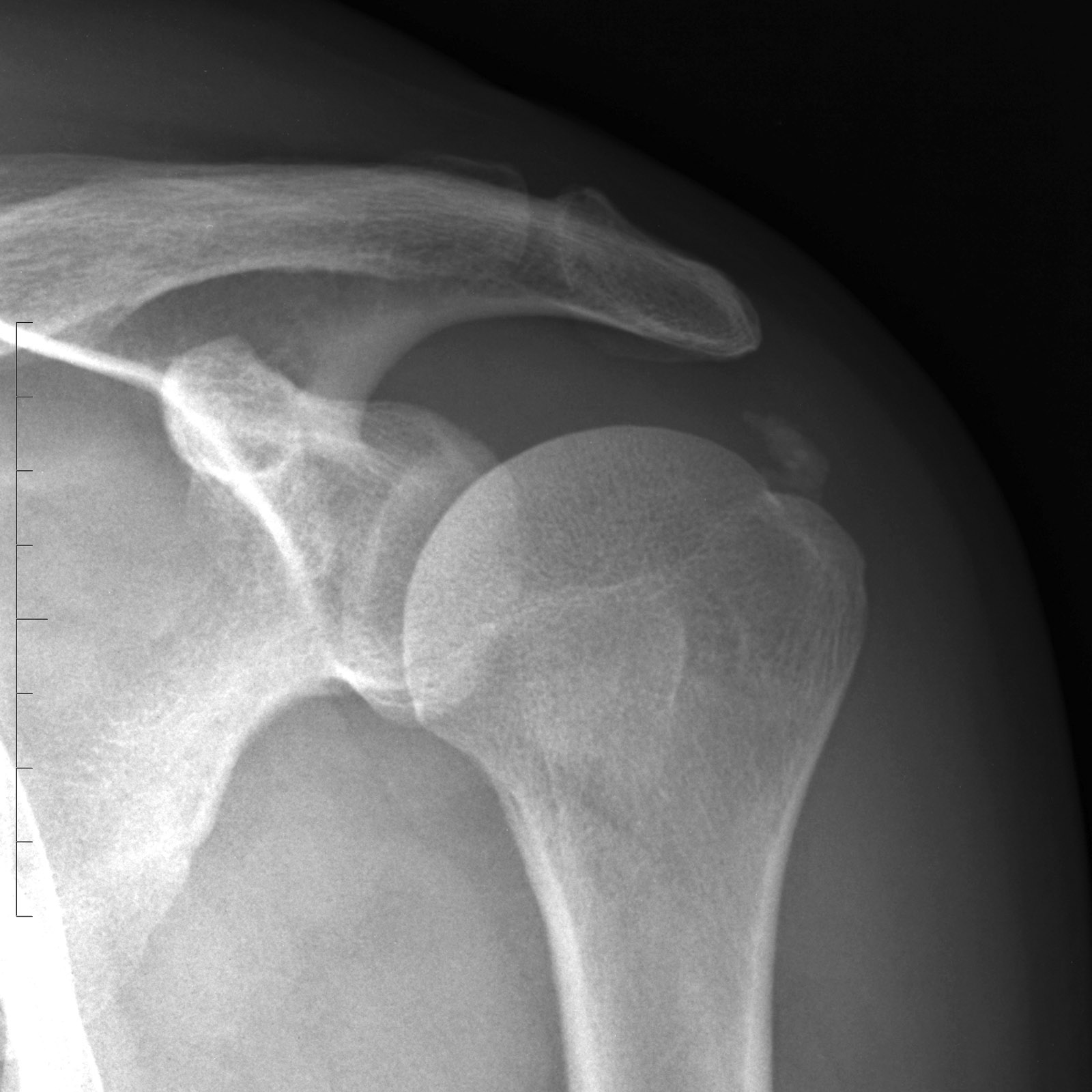
Ο υπερακάνθιος τένοντας αποτελεί μέρος του στροφικού πετάλου και είναι υπεύθυνος για την απαγωγή του βραχίονα. Η ασβεστοποιός τενοντίτιδα είναι πάθηση κατά την οποία έχουμε εναπόθεση αλάτων ασβεστίου στην περιοχή της κατάφυσης του τένοντα στο βραχιόνιο. Η κατάσταση αυτή είναι αποτέλεσμα χρόνιου ερεθισμού του τένοντα του υπερακανθίου λόγω επαναλαμβανόμενων μικροτραυματισμών και εκφύλισής του.

Κλινική Εικόνα

Η συμπτωματολογία που εμφανίζει ο ασθενής είναι πόνος στην περιοχή του ώμου κατά την ανύψωση του βραχίονα ο οποίος μπορεί να αντανακλά μέχρι και τον αγκώνα. Επίσης, ο πόνος εμφανίζεται όταν ο ασθενής ξαπλώνει σε πλάγια θέση και συχνά τον αφυπνίζει.

Η λήψη ιστορικού και η κλινική εξέταση επαρκούν για να τεθεί η διάγνωση. Παρακλινικές εξετάσεις όπως ακτινογραφίες, υπέρηχοι και μαγνητική τομογραφία χρησιμοποιούνται για την επιβεβαίωση αυτής.

Θεραπεία

H θεραπεία είναι αρχικά συντηρητική και περιλαμβάνει τροποποίηση των δραστηριοτήτων του πάσχοντα, φυσικοθεραπεία, ασκήσεις ενδυνάμωσης του ώμου αλλά και αντιφλεγμονώδη φάρμακα. Σε εμμένουσες περιπτώσεις (σύνδρομο πρόσκρουσης, ασβεστοποιός τενοντίτιδα) και σε αποτυχία της συντηρητικής αγωγής συχνά μπορεί να χρειασθεί χειρουργική αφαίρεση της ασβεστοποίησης αρθροσκοπικά. Ταυτόχρονα διενεργείται ακρωμιοπλαστική για την πρόληψη της υποτροπής.

Αποκατάσταση

Μετά την έξοδο από το χειρουργείο απαιτείται ελάχιστη αναλγησία για τις πρώτες δύο – τρεις ημέρες και ο ασθενής επιστρέφει άμεσα στις δραστηριότητές του χωρίς πρόβλημα.

Επιστροφή »

Ευρετήριο παθήσεων



© Copyright 2017 Ιατρείο Ευστάθιος Χαραλαμπίδης. All rights reserved

ΑΠΑΓΟΡΕΥΕΤΑΙ η αναδημοσίευση και γενικά η αναπαραγωγή του υλικού της ιστοσελίδας, με οποιοδήποτε μέσο ή τρόπο, τμηματικά ή περιληπτικά, χωρίς γραπτή άδεια του δημιουργού.